Unidad de Obstetricia
Responsables y contacto:
Ecografía ginecológica
Hospital Universitario Quirónsalud Madrid ofrece la posibilidad de realizar ecografía ginecológica de alta resolución para la caracterización y estudio de patología encontrada durante exploraciones ginecológicas rutinarias, como quistes ováricos, pólipos endometriales, miomas, etc.
El estudio mediante tecnología doppler (que permite el estudio de los vasos sanguíneos y las características de la circulación de la sangre) y tridimensional complementa el estudio con la ecografía de alta resolución, y ofrece la posibilidad de realizar un diagnóstico más exacto de los hallazgos durante la exploración ecográfica.

Ecografía ginecológica que muestra un quiste ovárico.

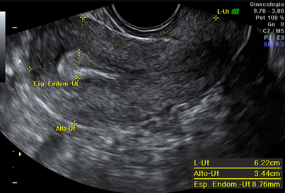
Ecografía ginecológica de útero.
Artículos de
Consulta los últimos artículos en Tu canal de salud.

Área personal de salud: Mi Quirónsalud
Accede a cualquier hora del día para cuidar tu salud y la de los tuyos.
Mi Quirónsalud es tu espacio personal privado y seguro en el que puedes solicitar y gestionar tus citas o consultar tus informes clínicos sin esperas ni desplazamientos.
¡Descúbrelo!






