Unidad de Obstetricia
Responsables y contacto:
A lo largo de las exploraciones ecográficas de una gestación normal, en ocasiones se detectan anomalías en el desarrollo o la anatomía fetal. Hospital Universitario Quirónsalud Madrid cuenta con los medios necesarios para el manejo de tales patologías antes, durante y tras el parto de forma integral. Esto incluye la disponibilidad de una Unidad de Cuidados Intensivos Neonatal y Pediátrica con autonomía para asumir casos de manejo complejo e incluso con necesidad de cirugía en los primeros días de vida.
La Unidad de Diagnóstico Prenatal cuenta con el equipo material y humano necesario para el diagnóstico de las anomalías congénitas fetales, así como para informar acerca de la naturaleza de las mismas, así como su pronóstico. El Comité de Perinatología está constituido no sólo por ginecólogos expertos en patología perinatal, sino también por neonatólogos que también asesoran e informan a los padres.
Entre las distintas patologías que se manejan en esta unidad se encuentran:
- Anomalías del sistema nervioso. Durante el desarrollo diversos elementos del sistema nervioso central pueden verse afectados dando lugar a diversas patologías (hidrocefalias, anomalías de línea media, patología de la maduración cortical, patología de fosa posterior, espina bífida, etc.). Hospital Universitario Quirónsalud Madrid pone a disposición de los padres la posibilidad de asesoramiento por parte de neuropediatras y neurocirujanos pediátricos. Asimismo, existe una de las unidades más avanzadas en la realización de resonancia magnética fetal, que resulta muy útil para complementar el estudio del sistema nervioso conforme avanza el embarazo.
- Cardiopatías congénitas. Se trata de un campo amplísimo con múltiples patologías (tetralogía de Fallot, trasposición de grandes arterias, comunicación interventricular, canal atrioventricular, etc). Existe la posibilidad de asesoramiento por parte de cardiólogos especializados en Cardiología Infantil y ecocardiografías fetales especializadas. El servicio de Cirugía Cardiaca Infantil informa sobre las posibilidades pronósticas y terapéuticas de estos niños tras el nacimiento.Otras anomalías congénitas. La presencia de anomalías específicas de otros órganos y sistemas (fisuras de labio o paladar, patología torácica y pulmonar, anomalías digestivas o de pared abdominal, patología nefrourológica, anomalías de miembros, etc.) son asesorados de forma individualizada por parte de los especialistas correspondientes (cirujanos maxilofaciales, cirujanos pediátricos, etc.).
- Otras anomalías congénitas. La presencia de anomalías específicas de otros órganos y sistemas (fisuras de labio o paladar, patología torácica y pulmonar, anomalías digestivas o de pared abdominal, patología nefrourológica, anomalías de miembros, etc.) son asesorados de forma individualizada por parte de los especialistas correspondientes (cirujanos maxilofaciales, cirujanos pediátricos, etc.).

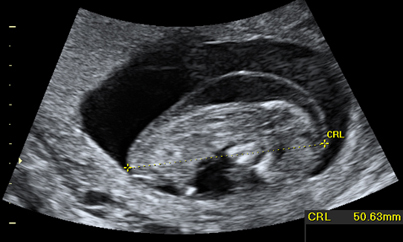
Ecografía de primer trimestre que muestra pliegue nucal patológico.
Artículos de
Consulta los últimos artículos en Tu canal de salud.

Área personal de salud: Mi Quirónsalud
Accede a cualquier hora del día para cuidar tu salud y la de los tuyos.
Mi Quirónsalud es tu espacio personal privado y seguro en el que puedes solicitar y gestionar tus citas o consultar tus informes clínicos sin esperas ni desplazamientos.
¡Descúbrelo!






