Alargamiento y Corrección de Deformidades Óseas
Talla Baja
¿QUÉ ES?
La talla baja se define como aquella que se encuentra situada por debajo de –2 desviaciones estándar para edad y sexo en relación a la media de la población de referencia.
El crecimiento de un niño depende de muchos factores y puede verse afectado por condicionantes externos, también llamados exógenos e internos o endógenos. Tanto es así que el retraso en el crecimiento puede ser una manifestación inicial de algún proceso patológico inicialmente oculto, estos factores pueden ser congénitos, adquiridos o una combinación de los mismos. Los factores endógenos que indican la talla suelen ser los genéticos (talla diana y patrón de desarrollo y maduración), los hormonales, los étnicos, etc. Por otro lado los factores externos pueden influir desde el nacimiento como la nutrición, las
enfermedades, los afectivos o las circunstancias sociales, el ejercicio, etc.
Hay tres fases fundamentales en el crecimiento de un niño hasta llegar a su talla final, donde el crecimiento deja de ser lineal. La etapa postnatal, en la lactancia caracterizada por un crecimiento rápido durante los dos primeros años de vida, la
infancia se caracteriza por una velocidad relativamente constante de alrededor de 5-7 cm por año y finalmente la pubertad, que dependiendo del sexo, se caracteriza por un estirón puberal entre 8-12 cm al año.
TIPOS:
Hay dos tipos fundamentales de talla baja:
1º La talla baja idiopática (TBI) es cuando se desconocen las causas de la misma, pues la longitud y peso del recién nacido es normal en la edad gestacional, las proporciones corporales son normales, no ha habido ninguna causa exógena como una enfermedad crónica, orgánica, desnutrición, trastornos psicoafectivos, y un tiempo de crecimiento o maduración que puede ser normal o lento.
2º La talla baja patológica en este grupo se conoce la o las causas que puede ocasionar efectos negativos en la evolución normal de la talla. Según las proporciones corporales se pueden subdividir en dos tipos:
a) Armónicos con talla baja y las proporciones normales de os segmentos corporales. Estos pueden ser de origen prenatal, como una cromosomopatía o postnatal como una enfermedad intercurrente como el déficit de la hormona del crecimiento.
b) Disarmónicos los que presentan talla baja con proporciones corporales inadecuadas. El raquitismo y las llamadas displasias óseas como la acondroplasia se encuentran en este grupo.
TRATAMIENTOS:
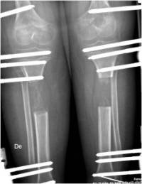
Dependiendo de la talla del paciente se realizará un alargamiento bilateral de femur o alargamiento bilateral de tibia.
La tibia es el hueso más propicio para hacer alargamientos pues tiene una forma tubular y parte de ella es superficial y accesible.
Por otro lado la pierna tiene un hueso adicional y pegado a la tibia por ligamentos, que es el peroné este hay que seccionarlo para que permita alargar la tibia. Es importante entender que la tibia es la que trasmite la carga de la extremidad y el peroné es un hueso accesorio para la carga y solo es importante en la parte proximal, donde se insertan los ligamentos de la rodilla y en la zona distal con los ligamentos de la sindesmosis, la zona articular de la tibia y el maleolo tibial forman la articulación del tobillo.
Siempre que respetemos estas dos estructuras el peroné se puede resecar sin ninguna consecuencia, pues la tibia no se puede alargar si no se corta el peroné.
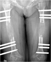
ALARGAMIENTO BILATERAL DE FÉMUR
El fémur es un hueso especial debido a su forma, tamaño (el hueso más grande del cuerpo) y por estar envuelto en una gran masa muscular por lo que las fuerzas distractoras que se oponen al alargamiento son muy potentes.
Por otro lado en la cara interna del muslo están los vasos y nervios que van a la extremidad y limita la colocación de fijadores externos en esta zona, es por lo que los clavos intramedulares están ganando indicaciones.
Hospital Quirónsalud Málaga
Avda. Imperio Argentina, 1
29004 Málaga Málaga
© 2026 Quirónsalud - Todos los derechos reservados





















