Cirugía oral y maxilofacial
Responsables y contacto:
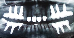
Los implantes dentales son estructuras metálicas que se anclan al hueso maxilar o mandibular, y sobre las que se fijan prótesis dentales. El implante dental es por tanto la raíz del nuevo diente, y la prótesis dental que se pone encima es la nueva corona del diente.

Los implantes dentales se utilizan desde hace más de 40 años para restaurar los dientes perdidos.
Al principio sólo se utilizaban para ayudar en la fijación de las prótesis completas, en pacientes sin ningún diente remanente, y en los que, por tanto, no se podían hacer prótesis fijas tradicionales (prótesis con anclaje en dientes, previamente tallados y preparados).
El excelente resultado de estos tratamientos, unido a las mejoras en el diseño y composición química y física de los implantes, ha hecho que actualmente los implantes dentales hayan sustituido a los puentes sobre dientes en casi todas las situaciones clínicas. Es decir, los implantes no se usan sólo en casos muy difíciles, o que son muy complicados de resolver con prótesis convencionales. Ahora los implantes se usan (y es donde más éxito tienen) en los casos "fáciles", en los que hay ausencia de uno o unos pocos dientes, y hay abundante hueso en los maxilares.
La rehabilitación dental con implantes es en la mayoría de las situaciones clínicas el mejor tratamiento disponible, el que tiene mejores resultados y el que en mayor grado mejora la calidad de vida del paciente.
Además, en la actualidad el tratamiento con implantes es una de las intervenciones menos molestas de cuantas se llevan a cabo en la cavidad oral. Las técnicas se han perfeccionado de tal modo que se puede llevar a cabo casi cualquier intervención bajo anestesia local sin que el paciente tenga ningún tipo de molestia. Y si en algún caso la intervención se prevé más molesta, siempre existen las opciones de sedación consciente o de anestesia general. Además, en casos complejos la anestesia general puede ser la opción más recomendable, más segura y cómoda para el paciente.
Sin embargo, siempre hay muchos factores que se deben tener en cuenta a la hora de diseñar y llevar a cabo un tratamiento con implantes dentales: la salud general y las enfermedades crónicas del paciente, la forma de la arcada dental, la salud de los dientes remanentes, la relación entre el maxilar y la mandíbula, las fuerzas masticatorias de ese paciente en concreto, la cantidad y calidad del hueso donde se van a colocar los implantes, el tipo de prótesis que el paciente va a llevar, etc. Se trata de múltiples y complejos factores.
Si bien el tratamiento con implantes es en general muy satisfactorio, en algunas ocasiones hay fracasos. Aunque en ocasiones no se identifica una causa concreta del fracaso, muchas veces los profesionales con experiencia observamos fallos conceptuales en el diseño general del tratamiento, o fallos en la puesta en práctica, tanto en la fase quirúrgica de colocación de implantes como en la fase protésica de colocación de los dientes.
Artículos de
Consulta los últimos artículos en Tu canal de salud.

Área personal de salud: Mi Quirónsalud
Accede a cualquier hora del día para cuidar tu salud y la de los tuyos.
Mi Quirónsalud es tu espacio personal privado y seguro en el que puedes solicitar y gestionar tus citas o consultar tus informes clínicos sin esperas ni desplazamientos.
¡Descúbrelo!













