"El diagnóstico precoz del cáncer de pulmón debe ir acompañado del abandono del hábito tabáquico"
El cáncer de pulmón es la causa más frecuente de fallecimiento por enfermedad oncológica en el mundo. Un 18 por ciento de las muertes por cáncer se deben a los tumores en el pulmón y causa 1,37 millones de muertes al año -de ellas, 18.000 en España-. Esta elevada mortalidad se debe a que en el momento del diagnóstico el cáncer se ha extendido a otras partes del cuerpo en el 80 por ciento de los casos.
El cáncer de pulmón es la causa más frecuente de fallecimiento por enfermedad oncológica en el mundo. Un 18 por ciento de las muertes por cáncer se deben a los tumores en el pulmón y causa 1,37 millones de muertes al año -de ellas, 18.000 en España-. Esta elevada mortalidad se debe a que en el momento del diagnóstico el cáncer se ha extendido a otras partes del cuerpo en el 80 por ciento de los casos.
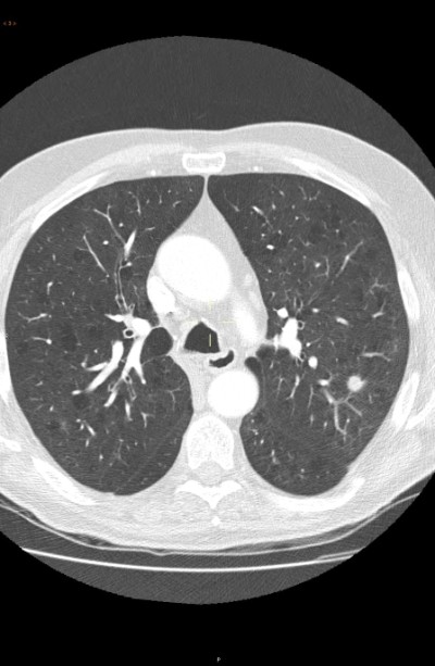
"El cáncer puede ser detectado en estadios más precoces utilizando la tomografía computarizada de baja radiación. Esta prueba permite identificar el cáncer en un estadio precoz, cuando se presenta en forma de un pequeño nódulo en el pulmón y antes de que se extienda a otras partes del cuerpo. Esta tecnología ha aumentado la tasa de curaciones", detalla el doctor José María Echave-Sustaeta, jefe de departamento de Neumología del Complejo Hospitalario Ruber Juan Bravo y del Hospital Universitario Quirónsalud Madrid.
Esta prueba se incluye dentro del programa de detección precoz del cáncer de pulmón puesto en marcha por Quirónsalud con el que se quieren reducir en un 20 % las tasas de mortalidad vinculadas con esta enfermedad. El programa, en el que participarán varios hospitales de Quirónsalud, espera incluir a unos 3.000 pacientes de alto riesgo de toda España. Tras el cribado, que durará al menos tres años, los participantes serán objeto de seguimiento a lo largo de un periodo mínimo de cinco años, y se someterán todos los años a una prueba de TAC (escáner) de baja radiación.
El cribado con tomografía computarizada de baja radiación ha conseguido una detección de tumores en estadios precoces. "En la actualidad sólo un 15 por ciento de los carcinomas no microcíticos de pulmón permiten una intervención curativa; mientras que en los programas de cribado mediante tomografía computarizada han conseguido la detección de entre un 65 y un 85 por ciento de tumores en estadios precoces", detalla el doctor Echave-Sustaeta, que considera que las personas que están en el grupo de alto riesgo de cáncer deberían realizarse la prueba una vez al año.

La utilización de tomografías computarizadas de baja radiación expone al paciente a una dosis de radiación muy pequeña (el equivalente a una cuarta parte de la radiación que una persona recibe de fuentes naturales durante un año).
Sin embargo, insiste el doctor Echave-Sustaeta, la medida más eficaz y coste efectiva para reducir la incidencia de cáncer de pulmón y para prevenirlo es el abandono del tabaquismo. "Cualquier programa de diagnóstico precoz debe ir de la mano de un programa de abandono del hábito tabáquico".

Área personal de salud: Mi Quirónsalud
Accede a cualquier hora del día para cuidar tu salud y la de los tuyos.
Mi Quirónsalud es tu espacio personal privado y seguro en el que puedes solicitar y gestionar tus citas o consultar tus informes clínicos sin esperas ni desplazamientos.
¡Descúbrelo!

















