La evolución de la pandemia en imágenes moleculares gracias a la Medicina Nuclear

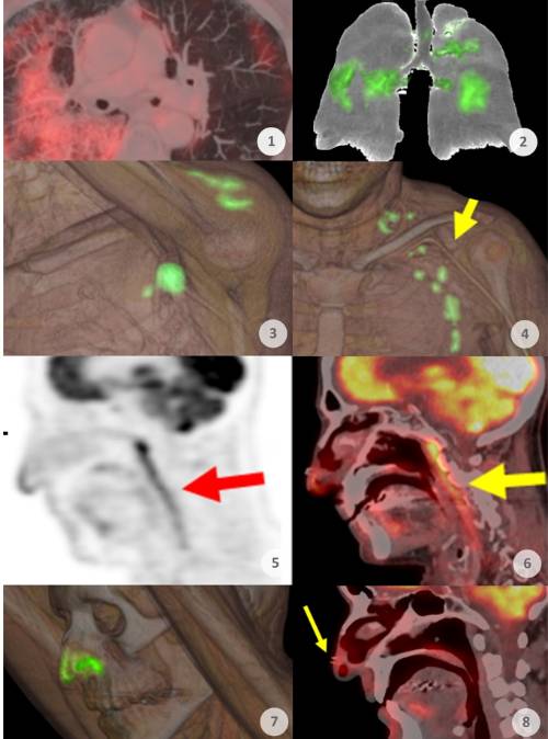
Desde el inicio de la pandemia del COVID-19 el Servicio de Medicina Nuclear del Hospital Universitario Quirónsalud Madrid ha estado tratando a sus pacientes sometiéndoles a pruebas de PET-CT. Sus imágenes muestran cómo ha sido la evolución de la pandemia durante estos dos últimos años. "Durante la primera ola, a partir de marzo de 2020, era muy frecuente observar afectaciones pulmonares (imágenes 1 y 2). Llegó a apreciarse en el 4 por ciento de todos los pacientes a los que sometemos a pruebas PET", explica el Dr. Antonio Maldonado
, jefe del Servicio de Medicina Nuclear de Quirónsalud Madrid, que afirma que el COVID-19 no deja de ser una vasculitis sistémica que afectaba a vasos de diferentes niveles. "Después, con el inicio de la vacunación desde principios de 2021, comenzamos a observar captaciones locales en la zona del hombro con extensión ganglionar, e incluso en el bazo debido a la vacunación (imágenes 3 y 4). Observamos que en nuestra serie de pacientes la vacuna de Moderna fue la que más reacción producía, que generalmente provocaba también captación en los ganglios adyacentes a la zona de vacunación".
En cambio, con la llegada y generalización de la variante ómicron a finales de 2021 se ha observado un cambio de patrón: "Ya no observamos afectaciones pulmonares como en la primera ola, sino que se aprecian con frecuencia captaciones en las mucosas oro y nasofaríngeas (imágenes 5 y 6). Este nuevo patrón lo observamos desde diciembre de 2021".
Aparte del interés de observar cómo el PET-TC ha ido mostrando la evolución de la epidemia de la COVID-19, la difusión de estos hallazgos es importante para "que los médicos nucleares conozcan qué se están produciendo y valoren adecuadamente la presencia de estas captaciones en las imágenes para no alarmar innecesariamente al oncólogo, al paciente y para evitar procedimientos invasivos al paciente que no son necesarios. Es importante manifestar claramente en los informes que estos hallazgos son benignos para que no alteren el tratamiento de estos pacientes", analiza el doctor Maldonado que cree que la imagen PET ha puesto de manifiesto cómo iba evolucionando la pandemia, dando información de lo que estaba sucediendo dentro del cuerpo de los enfermos.
El último hallazgo que ha alimentado la curiosidad del equipo de Medicina Nuclear son las captaciones en la punta de la nariz de muchos enfermos (imágenes 7 y 8): "Los denominados hallazgos de superficie de anclaje nasal. Creemos que muestra actividad producida por el ajuste de la mascarilla con la mano, pero aún no estamos seguros porque no la habíamos visto con tanta frecuencia hace unos meses cuando también se utilizaba la mascarilla. Debemos seguir estudiando".
Este trabajo del Servicio de Medicina Nuclear de Quirónsalud Madrid ha llamado la atención internacionalmente y va a difundirse en la reunión de la Sociedad Americana de Medicina Nuclear que se va a celebrar en Vancouver (Canadá) los próximos 11 a 14 de junio. Además, ha sido elegida para entrar en las charlas denominadas highlight o destacados del año. "Han elegido nuestro trabajo entre alrededor de 2.000 trabajos para destacarlo como una de las mejores presentaciones del año", afirma el doctor Maldonado, que también presentará sus resultados en el congreso de la Sociedad Española de Radiología Médica (SERAM).


Área personal de salud: Mi Quirónsalud
Accede a cualquier hora del día para cuidar tu salud y la de los tuyos.
Mi Quirónsalud es tu espacio personal privado y seguro en el que puedes solicitar y gestionar tus citas o consultar tus informes clínicos sin esperas ni desplazamientos.
¡Descúbrelo!





















