La tomografía de baja radiación es eficaz en el cribado preventivo del cáncer de pulmón
El cáncer de pulmón es la causa más frecuente de fallecimiento por enfermedad oncológica en el mundo: está presente en un 18% de los casos y ocasiona 1,37 millones de muertes al año. La mortalidad tan elevada se debe a que en el momento del diagnóstico el cáncer se ha extendido a otras partes del cuerpo en el 80% de los casos.
"El cáncer puede ser detectado en estadios más precoces con el uso de la tomografía computarizada de baja radiación. Esta prueba permite identificar el tumor en una fase anterior, cuando forma pequeños nódulos en el pulmón y antes de que se extienda a otras zonas del organismos. Esta tecnología ha aumentado la tasa de curaciones", detalla el doctor José María Echave-Sustaeta
, jefe del Servicio de Neumología del Hospital Universitario Quirónsalud Madrid.

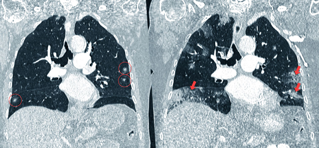
Evolución durante seis meses de un cáncer de pulmón
El cribado en cáncer de pulmón se recomienda en las personas con un alto riesgo de padecerlo. Los candidatos deben cumplir las siguientes características: tener una edad de entre 55 y 74 años, con una historia de tabaquismo de, al menos, 30 años fumando una cajetilla diaria de cigarrillos, o de 15 años si se consumen dos paquetes al día. También pueden ser fumadores activos o exfumadores con una historia de consumo de menos de 15 años.
"En la actualidad solo un 15% de los carcinomas no microcíticos de pulmón permite una intervención curativa; mientras que en los programas de cribado mediante tomografía computarizada se ha conseguido la detección de entre un 65 y un 85% de tumores en estadios precoces", continúa el doctor Echave-Sustaeta, quien cree que las personas que están en el grupo de alto riesgo deberían hacerse la prueba una vez al año.
La utilización de tomografías computarizadas de baja radiación expone al paciente a una dosis de radiación muy pequeña (el equivalente a una cuarta parte de la radiación que una persona recibe de fuentes naturales durante un año). Sin embargo, insiste el doctor Echave-Sustaeta, la medida más eficaz y de coste efectivo para reducir la incidencia de cáncer de pulmón y para prevenirlo es el abandono del tabaquismo. "Cualquier actuación de diagnóstico precoz debe ir de la mano de un programa de abandono del hábito tabáquico", concluye el especialista.

Área personal de salud: Mi Quirónsalud
Accede a cualquier hora del día para cuidar tu salud y la de los tuyos.
Mi Quirónsalud es tu espacio personal privado y seguro en el que puedes solicitar y gestionar tus citas o consultar tus informes clínicos sin esperas ni desplazamientos.
¡Descúbrelo!





















