Cómo tratar el corazón puede prevenir la aparición de ictus en el cerebro

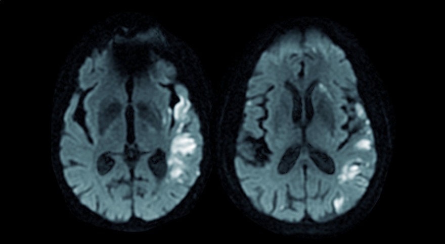
En blanco áreas de isquemia en paciente con tromboembolismos
Aunque no lo parezca a primera vista, algunas patologías cardiacas pueden ser el origen de trombos que al circular por el torrente sanguíneo y llegar a los vasos más estrechos del cerebro generen ictus. "La causa más frecuente de trombos intracardiacos es la fibrilación auricular. Esta patología produce una contracción auricular rápida e irregular que hace que la sangre circule más lenta y con un flujo turbulento, lo que facilita la formación de trombos", explica el Dr. Tomas Datino
, jefe de la Unidad de Arritmias del Hospital Universitario Quirónsalud Madrid y uno de los directores de las VI Jornadas de avances diagnóstico-terapéuticos en fibrilación auricular, que se van a celebrar en el Hospital Universitario Quirónsalud Madrid el próximo 16 de febrero. "Los trombos generalmente se forman en una parte de la aurícula izquierda denominada orejuela. Para prevenir la aparición de trombos puede ser necesario el uso de anticoagulantes; sin embargo, una alternativa a la anticoagulación (sobre todo en pacientes que no pueden recibir esta terapia) es la implantación de un dispositivo que ocluya la orejuela, previniendo la formación de coágulos derivados de la fibrilación auricular sin necesidad de someter al paciente a una terapia anticoagulante".
Dres. Jorge González-Panizo, David González Casal y Tomás Datino durante la intervencion
El peligro de los trombos viajeros
Los trombos no sólo se forman en el corazón, también se pueden generar en las venas de las piernas -patología que se conoce como trombosis venosa profunda-. Estos trombos pueden migrar desde la pierna a la aurícula derecha. Un tercio de las personas poseen un orificio entre las dos aurículas que se debería haber cerrado al nacer, pero que no lo ha hecho, que se denomina foramen oval. Los trombos que llegan a la aurícula derecha desde las piernas pueden atravesar a la aurícula izquierda a través del foramen oval y llegar finalmente al cerebro, "Por eso en estos casos puede ser necesario cerrar el foramen oval y evitar su permeabilidad para que los trombos no pasen desde las piernas al cerebro causando ictus".
Imagen de Rayos X durante la colocación de un dispositivo de cierre percutáneo del foramen oval.
Esta es la razón por la que es tan importante una buena salud cardiovascular para cuidar el cerebro. En opinión del Dr. Tomás Datino, "la salud cardiovascular está íntimamente relacionada con lo que ocurre en el cerebro; por eso hablamos de enfermedades cerebro vasculares y cardiovasculares como la principal causa de muerte en los países desarrollados".
"El corazón o los vasos enfermos pueden generar trombos que migran al cerebro y que pueden producir falta de riego en distintas partes del cerebro. Estos trombos pueden producir infartos cerebrales, pero también si son muy extensas y repetitivas pueden generar un tipo de demencia", detalla el Dr. Datino que recomienda fervientemente evitar los factores de riesgo cardiovascular, como tabaquismo, colesterol elevado, hipertensión arterial, diabetes mellitus… "Si evitamos o prevenimos estos factores, reducimos mucho el riesgo de las patologías cardiacas y cerebrales".
El Servicio de Cardiología del Hospital Universitario Quirónsalud Madrid organiza el próximo 16 de febrero las VI Jornadas de avances diagnóstico-terapéuticos en fibrilación auricular, síncope e ictus, que reúne a cardiólogos y neurólogos que ponen en común todas las estrategias para tratar estas patologías vasculares con tanta prevalencia.

Área personal de salud: Mi Quirónsalud
Accede a cualquier hora del día para cuidar tu salud y la de los tuyos.
Mi Quirónsalud es tu espacio personal privado y seguro en el que puedes solicitar y gestionar tus citas o consultar tus informes clínicos sin esperas ni desplazamientos.
¡Descúbrelo!





















