El Servicio de Angiología y Cirugía Vascular del Hospital Rey Juan Carlos incorpora las técnicas más novedosas para el tratamiento de la patología compleja de la aorta

- Los aneurismas de la aorta torácica y abdominal, las úlceras penetrantes o hematomas intramurales de la pared aórtica y las disecciones aórticas son las patologías que pueden tratarse mediante las técnicas que el hospital ha incorporado desde su apertura en 2012.
- La cirugía endovascular posibilita, además, reducir las complicaciones postoperatorias y la estancia hospitalaria, permitiendo el alta en 24-48 horas en la mayor parte de los casos.
Desde la apertura en 2012 del Hospital Universitario Rey Juan Carlos
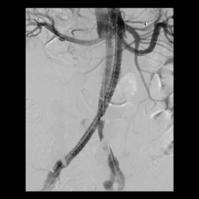
, integrado en la red sanitaria pública de la Comunidad de Madrid, el Servicio de Angiología y Cirugía Vascular ha ido incorporando a su cartera de servicios las técnicas más novedosas para el tratamiento de la patología compleja de la aorta que comprende los aneurismas de la aorta torácica y abdominal, las úlceras penetrantes o hematomas intramurales de la pared aórtica y las disecciones aórticas. En concreto, el Servicio ha realizado en torno a 600 intervenciones anuales y durante el periodo de 2013-2016 se han llevado a cabo 73 procedimientos de cirugía aórtica.
Como ejemplos de este tipo de tratamientos, "en los últimos cinco años se han implantado en el hospital seis endoprótesis ramificadas o fenestradas en pacientes con aneurismas yuxtarrenales o tóraco-abdominales. Además, el Hospital Rey Juan Carlos también realiza la técnica EVAS (Endovascular Aneurysm Sealing) para el sellado de aneurismas abdominales", explica el doctor Tomás Bolivar Gómez
, jefe asociado del Servicio de Angiología y Cirugía Vascular del Hospital Universitario Rey Juan Carlos.

El desarrollo de nuevas técnicas quirúrgicas, prótesis vasculares de última generación, y el abordaje multidisciplinar de estas patologías en colaboración con otros servicios como Cirugía Cardiaca, Cardiología, Radiología Intervencionista, Anestesiología y Medicina Intensiva permite realizar un tratamiento eficaz a un mayor número de pacientes. "La cirugía endovascular posibilita, además, reducir las complicaciones postoperatorias y la estancia hospitalaria, permitiendo el alta habitualmente en 24-48 horas", añade el cirujano vascular.
Seguimiento a largo plazo
Los resultados a corto y medio plazo han sido satisfactorios, si bien, al tratarse de técnicas novedosas, es necesario realizar un seguimiento prolongado que permita valorar su eficacia a largo plazo. "Aunque las terapias endovasculares con abordajes mínimamente invasivos son el futuro de la cirugía vascular, hoy por hoy no permiten tratar todos los casos, por lo que no debemos olvidar las técnicas quirúrgicas convencionales, que se realizan en nuestro centro con excelentes resultados", recuerda el doctor Tomás Bolívar.

La aorta es la arteria principal del cuerpo. Su trayecto se extiende desde el corazón a través del tórax y el abdomen y se divide, aproximadamente, a nivel del ombligo originando las arterias ilíacas que dan suministro de sangre a las piernas. Las arterias que irrigan los órganos tienen su origen en la aorta a lo largo de su recorrido.
"Los aneurismas son dilataciones o "globos" en alguna parte de la aorta y su principal problema es que pueden ir creciendo de forma progresiva debilitando la pared de la arteria hasta romperse. Del mismo modo, las disecciones, hematomas intramurales o úlceras penetrantes se originan por una debilidad de la pared de la aorta y pueden provocar su ruptura o bloquear el aporte de sangre a tejidos u órganos vitales, lo que se conoce como isquemia. Cuando estas enfermedades producen una afectación extensa de la aorta, combinando los segmentos torácico y abdominal, o comprometiendo el origen de sus ramas principales, la cirugía vascular ofrece soluciones mediante técnicas endovasculares basadas en catéteres, cirugía abierta convencional o una combinación de ambas", concluye el doctor Tomás Bolívar.
Current events
Current events
- 23 de abril de 2026
Quirónsalud Huelva refuerza su programa de educación maternal con un curso sobre alimentación complementaria...
• La sesión abordará el método Baby Led Weaning (BLW) y se celebrará el próximo 25 de mayo en el salón de actos del Hospital Quirónsalud Huelva.Hospital Quirónsalud Huelvaen/health-centers/hospital-quironsalud-huelvaPediatría y sus Áreas Específicasen/specialities/pediatria-areas-especificas - 23 de abril de 2026
El Hospital Universitari Sagrat Cor celebra Sant Jordi con una jornada que une cultura, participación...
Este 23 de abril, coincidiendo con el día de Sant Jordi, el Hospital Universitari Sagrat Cor ha celebrado una jornada muy especial con diferentes propuestas donde la particip...Hospital Universitari Sagrat Coren/health-centers/hospital-universitari-sagrat-cor - 23 de abril de 2026
Centro Médico Teknon celebra un Sant Jordi solidario a favor de Down Catalunya
Con motivo de la festividad de Sant Jordi, Centro Médico Teknon impulsa este año una iniciativa solidaria en colaboración con Down Catalunya, entidad que trabaja por la incl...Centro Médico Teknonen/health-centers/centro-medico-teknon





