Un tratamiento farmacológico ofrece resultados prometedores en una paciente con epidermólisis bullosa y distrofia muscular
- La paciente sufre epidermólisis bullosa simple con distrofia muscular, una enfermedad rara caracterizada por fragilidad de la piel y debilidad progresiva de los músculos esqueléticos y respiratorios
 
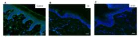
- Gracias a la administración de gentamicina, un antibiótico del grupo de los aminoglucósidos, la proteína plectina se ha podido detectar en la piel de la paciente, y su calidad de vida ha mejorado con la disminución del dolor y la leve mejoría de la debilidad muscular observada
 
- Este compuesto es capaz de modular las consecuencias que tiene el defecto genético causante de la enfermedad
 
- En el estudio, han participado investigadores de la UC3M, el CIEMAT, el CIBERER, el IIS-FJD y el Hospital Universitario La Paz
 
Un grupo multidisciplinar español ha conseguido mejorar el estado de una paciente con una variante de epidermólisis bullosa (también conocida como enfermedad de la piel de mariposa), caracterizada, además, por la distrofia muscular. Gracias a la administración de gentamicina, un antibiótico del grupo de los aminoglucósidos, la proteína plectina (ausente en esta paciente) ha podido ser detectada en su piel, y su calidad de vida ha mejorado con la disminución del dolor y la leve mejoría de la debilidad de los músculos esqueléticos y respiratorios observada. Este compuesto ha mostrado capacidad de modular las consecuencias que tiene el defecto genético heredado causante de la enfermedad.
En el estudio han participado investigadores de la Cátedra de Investigación de la Universidad Carlos III de Madrid (UC3M), el Centro de Investigaciones Energéticas, Medioambientales y Tecnológicas (CIEMAT), el Centro de Investigación Biomédica en Red de Enfermedades Raras (CIBERER), el Instituto de Investigación Sanitaria de la Fundación Jiménez Díaz (IIS-FJD) y el Hospital Universitario La Paz.
La epidermólisis bullosa simple con distrofia muscular (EBS-MD) es un trastorno raro causado por mutaciones en el gen de la plectina. Los pacientes con esta patología, además de presentar fragilidad de la piel, desarrollan una debilidad progresiva del músculo esquelético y respiratorio que reduce drásticamente su calidad de vida y aumenta la morbilidad y la mortalidad.
Esta enfermedad es incurable y los pacientes carecen de tratamientos específicos y eficaces. En este artículo, publicado en JAMA Dermatology, se valora por primera vez el uso de gentamicina como compuesto capaz de suprimir las consecuencias de las mutaciones heredadas en una paciente con EBS-MD. Esta enfermedad está causada por una mutación sin sentido (una mutación en una secuencia de ADN que provoca la aparición de un codón de terminación prematura con lo que no se produce la proteína o se produce de forma truncada). Este fármaco enmascara este codón y permite que se añada un aminoácido donde antes no era posible, permitiendo que continúe la traducción de la proteína, con lo que mejora su función.
La Dra. María José Escámez, investigadora de la Cátedra de Investigación de la UC3M, ha coordinado a un grupo formado por investigadores básicos y clínicos que han hecho posible el tratamiento de esta paciente con una necesidad urgente de mejorar su condición. En el trabajo se reporta, en primer lugar, la eficacia de la gentamicina a la hora de conseguir una producción significativa de plectina en células de la piel de la paciente. En segundo lugar, que con el tratamiento intravenoso de la paciente con gentamicina se consiguió un aumento de los niveles de plectina en su piel y una leve mejoría de la debilidad de los músculos esqueléticos y respiratorios. "Todo esto, en su conjunto, repercutió positivamente en la calidad de vida de la paciente", indica Marcela del Río, directora de la Cátedra de investigación Fundación Jiménez Díaz de la Universidad Carlos III de Madrid (UC3M) y jefa de grupo del CIBERER.
"Este estudio revela el valor potencial de la gentamicina como terapia para la EBS-MD, que podría extenderse a otras plectinopatías hereditarias causadas por mutaciones sin sentido", añade la Dra. Escámez, también investigadora del CIEMAT, el IIS-FJD y el CIBERER.
Para la realización de este estudio, ha sido fundamental la labor del Centro de Referencia para Epidermólisis Bullosa liderado por Raúl de Lucas en el Hospital Universitario La Paz, el apoyo de la asociación de pacientes DEBRA-España y la colaboración de la paciente y su familia.
Artículo de referencia:
Martínez-Santamaría L, Maseda R, de Arriba MDC, et al. Evaluation of Systemic Gentamicin as Translational Readthrough Therapy for a Patient With Epidermolysis Bullosa Simplex With Muscular Dystrophy Owing to PLEC1 Pathogenic Nonsense Variants. JAMA Dermatol. Published online March 02, 2022. doi:10.1001/jamadermatol.2022.0112
Comentario editorial:
Bolling MC, Has C, Bruckner AL. Understanding the Potential Promise and Pitfalls of Intravenous Gentamicin as a Therapy for Epidermolysis Bullosa. JAMA Dermatol. Published online March 02, 2022. doi:10.1001/jamadermatol.2021.5630
Current events
Current events
- 3 de noviembre de 2025
La doctora Catheline Lauwers, entre las 50 mejores doctoras de España, según Vanitatis
La doctora Catheline Lauwers, jefa del Servicio de Cardiología del Hospital Quirónsalud Valencia, ha sido destacada por Vanitatis y El Confidencial como una de las 50 mejores...Hospital Quirónsalud Valenciaes/red-centros/hospital-quironsalud-valenciaCardiologíaes/especialidades/cardiologia - 31 de octubre de 2025
Gestión del sueño y salud mental-cognitiva, clave para entender cómo el descanso influye en el bienestar...
En el marco del ciclo de conferencias que organiza EJE&CON (Asociación Española de Ejecutivas y Consejeros) —integrada por profesionales tanto hombres como mujeres comprometi...Centro médico-quirúrgico Olympiaes/red-centros/centro-medico-quirurgico-olympia - 3 de noviembre de 2025
Vanitatis incluye a 6 facultativas del Hospital Universitario Rey Juan Carlos en su ranking “Las 50 mejores...
El listado valora la vocación, capacidad transformadora, aportaciones de las profesionales y trayectoria consolidada de las profesionales incluidas en élHospital Universitario Rey Juan Carloses/red-centros/hospital-universitario-rey-juan-carlos 








