Epileptóloga afirma que lo importante es hacer un diagnóstico preciso para poder ofrecer el tratamiento más dirigido posible
La epilepsia afecta a unas 700.000 personas en España y a unos 50 millones de personas en el mundo
La epilepsia es uno de los trastornos neurológicos más frecuentes y se caracteriza por la predisposición crónica a padecer crisis epilépticas. Estas son las manifestaciones derivadas de una actividad eléctrica cerebral anómala que nuestro organismo no es capaz de controlar espontáneamente. Las crisis epilépticas no solo entrañan un elevado riesgo de lesiones físicas, sino que a medio y largo plazo producen un alto impacto sobre capacidad intelectual, calidad de vida y adaptación a la vida social y laboral de quienes las padecen.
La epilepsia afecta a unas 700.000 personas en España y a unos 50 millones de personas en el mundo. La Organización Mundial de la Salud (OMS) estima que una de cada diez personas sufrirá al menos una crisis epiléptica a lo largo de su vida. Puede desarrollarse en cualquiera de las etapas de la vida, aunque las más frecuentes son durante el neurodesarrollo en la etapa pediátrica y en la senectud con la neurodegeneració
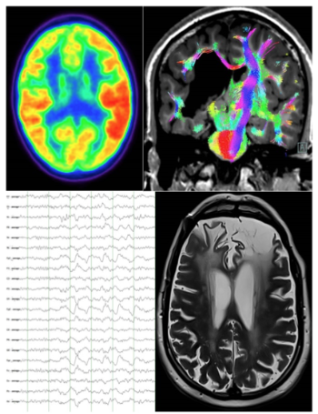
Tal y como explica la doctora Carla Anciones, de la Unidad de Epilepsia del Hospital La Luz, "la epilepsia es una enfermedad multifactorial, que puede responder a múltiples causas. Cada día, los avances científicos nos revelan una mayor implicación del papel de la genética y de las enfermedades autoinmunes. Sin embargo, son muy frecuentes las lesiones estructurales focales (malformaciones del desarrollo de la corteza cerebral, lesiones vasculares, tumores, traumatismos, entre otras) y los trastornos metabólicos. Para detectarlas, se utilizan diversas técnicas diagnósticas que deben ser ejecutadas y evaluadas por personal especializado. Entre estas se incluyen técnicas de neurofisiología (electroencefalografía), neurogenética, neurorradiología, medicina nuclear y neurocirugía, entre otras".
Existen multitud de estrategias para mejorar la calidad de vida de los pacientes epilépticos. "Aproximadamente 2 de cada 3 se controlan con tratamiento farmacológico. No obstante, una proporción de pacientes seleccionados puede beneficiarse de la cirugía abierta o de la cirugía mínimamente invasiva como la termocoagulación o la radiocirugía con Gamma Knife. Otros pacientes podrían ser subsidiarios de tratamientos dirigidos como la terapia específica para epilepsias genéticas o de origen inmunológico. Lo importante es hacer un diagnóstico preciso para poder aplicar el tratamiento más dirigido posible", asevera la doctora Anciones.
"En el Servicio de Neurología del Hospital La Luz –continua esta experta -, contamos con una consulta especializada donde ofrecemos un diagnóstico y seguimiento multidisciplinar de la epilepsia; desde neurofisiología hasta neurorradiología y neuropsicología, para que los pacientes epilépticos tengan una puerta de acceso a las técnicas disponibles para el diagnóstico y tratamiento correcto de su enfermedad".

Área personal de salud: Mi Quirónsalud
Accede a cualquier hora del día para cuidar tu salud y la de los tuyos.
Mi Quirónsalud es tu espacio personal privado y seguro en el que puedes solicitar y gestionar tus citas o consultar tus informes clínicos sin esperas ni desplazamientos.
¡Descúbrelo!

















