El Hospital La Luz implanta con éxito un Cierre percutáneo de Orejuela Izquierda para la prevención del Ictus
Imagen en alta resolución. Este enlace se abrirá mediante lightbox, puede haber un cambio de contextoSegún la revista española de cardiología, la fibrilación auricular de origen no valvular (FANV) es la arritmia cardiaca más frecuente en la práctica clínica. Se caracteriza por latidos descoordinados y desorganizados, produciendo un ritmo cardiaco rápido e irregular. La causa más frecuente de fibrilación auricular es la presión arterial alta o hipertensión arterial. Su incidencia guarda estrecha relación con la edad, con una prevalencia cercana al 25% en pacientes mayores de 80 años.
Entre los múltiples procesos asociados a la FANV, el Ictus de origen cardioembólico, que se produce como consecuencia de la obstrucción de una arteria cerebral por un trombo que proviene del corazón, probablemente sea la complicación más grave, al tratarse de una patología con una elevada tasa de discapacidad y mortalidad. Otro de los problemas asociados a la fibrilación auricular es la necesidad de tratamiento anticoagulante oral (ACO) para prevenir los eventos cardioembólicos (la trombosis y la embolia), lo cual conlleva el riesgo de las complicaciones asociadas al tratamiento anticoagulante y en especial el riesgo hemorrágico.
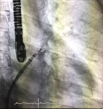
Actualmente el cierre percutáneo de la orejuela izquierda (OI) es una técnica reciente y alternativa segura y eficaz para la prevención de ictus en pacientes que presentan contraindicaciones para anticoagulación con inhibidores de la vitamina K o nuevos anticoagulantes orales (NACOS).
Imagen en alta resolución. Este enlace se abrirá mediante lightbox, puede haber un cambio de contextoSe sabe que entre el 30-50% de los pacientes que precisan ACO no los reciben o no están bien manejados, ya sea por niveles de INR variables (parámetro que se utiliza para ver si un paciente está bien controlado con sintrom), por la discontinuación del tratamiento debido a los sangrados o simplemente por rechazar la anticoagulación.
La idea en la que se basa esta técnica es la de excluir de la circulación dicha estructura, evitando así que sea fuente de trombos en estos pacientes. En el ensayo PROTECT-AF, publicado en Lancet en el año 2009, la oclusión percutánea de la orejuela auricular izquierda mediante el dispositivo Watchman (Boston Scientific) demostró ser no-inferior a la anticoagulación oral (1,4% ictus/año Vs 1,1%, es el riesgo de ictus anual). Estudios y registros posteriores han confirmado su utilidad.
El procedimiento realizado por vía percutánea femoral, se llevó a cabo con éxito recientemente por parte de los doctores Jorge Palazuelos Molinero, responsable de la Unidad de Hemodinámica del Hospital La Luz, José Antonio Fernández Díaz e Ignacio Cruz González, miembros del Equipo de Cardiología Clínica e Intervencionista del Dr. Roberto Martín Reyes, del centro sanitario.
"Hemos realizado un novedoso y avanzado procedimiento percutáneo dirigido principalmente a la prevención del Ictus", explica Martín Reyes, jefe de Cardiología Clínica e Intervencionista.
"Con la introducción de este nuevo dispositivo en la cartera de servicios del Hospital La Luz, culminamos un profundo e innovador cambio en el laboratorio de hemodinámica con la incorporación además, del cateterismo cardiaco por vía radial, la implantación de válvulas percutáneas por vía femoral (TAVI) y la utilización de la guía de presión en cardiología. Todo ello nos permite cumplir con el objetivo permanente de seguir incorporando todos aquellos procedimientos diagnósticos y de tratamiento que suponen mejoras claras para nuestros pacientes", afirma el Dr Jorge Palazuelos Molinero, responsable de la Unidad de Hemodinámica del Hospital La Luz.

Área personal de salud: Mi Quirónsalud
Accede a cualquier hora del día para cuidar tu salud y la de los tuyos.
Mi Quirónsalud es tu espacio personal privado y seguro en el que puedes solicitar y gestionar tus citas o consultar tus informes clínicos sin esperas ni desplazamientos.
¡Descúbrelo!

















