Cirugía ortognática, equilibrio y mordida perfecta para la cara más bonita
Según la Sociedad Española de Ortodoncia y Ortopedia Dental (SEDO), la Ortodonciaes la especialidad odontológica que estudia, previene y corrige las alteraciones del desarrollo, las formas de las arcadas dentarias y la posición de los maxilares, con el fin de restablecer el equilibrio morfológico y funcional de la boca y de la cara, mejorando también la estética facial.
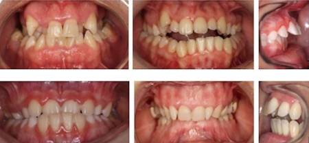
Imagen en alta resolución. Este enlace se abrirá mediante lightbox, puede haber un cambio de contextoEn la búsqueda de ese equilibrio perfecto, la doctora Lucia Rodríguez Fonseca, ortodoncista del Hospital La Luz de Madrid, afirma que los principales problemas ortodóncicos a los que nos enfrentamos son las alteraciones de la erupción (donde destacarían la erupción ectópica, significa que el diente erupciona lejos de la posición normal y las impactaciones dentarias, es decir, los dientes no puede salir al quedar incluido en el hueso o encía), las anomalías volumétricas (apiñamiento o presencia de diastemas), maloclusiones de Clase II o Clase III, mordida abierta anterior y posterior, mordida profunda, así como maloclusiones transversales (mordida cruzada posterior unilateral, bilateral o mordida en tijera).
La resolución de estos problemas redundará en el bienestar del paciente, siendo numerosos los beneficios de un tratamiento ortodóncico. Para la doctora Rodríguez Fonseca, la corrección de maloclusiones y malposiciones dentarias, permite recuperar la funcionalidad de la boca mejorando la masticación, ingesta y digestión de alimentos. Disminuye el riesgo de desgaste dental y se mejora su higiene, reduciendo así el riesgo de caries o enfermedad periodontal, así como se perfecciona la estética, con repercusión en el bienestar psicosocial.
"En aquellos casos en los que la discrepancia esquelética es excesiva y no podemos llevar a cabo procedimientos de compensación ortodóncica, tendremos que recurrir a la realineación quirúrgica de los maxilares, que llevaría a los mismos a una correcta disposición en los tres planos del espacio: sagital, vertical y transversal", explica la experta.
La Cirugía Ortognática o cirugía correctiva de la mandíbula, es la rama de la cirugía maxilo-facial que trata de resolver, por medios quirúrgicos, aquellos problemas oclusales con origen en severas discrepancias esqueléticas de los maxilares, y cuya corrección, no es posible mediante las técnicas ortodóncicas habituales consideradas de modo aislado.
De acuerdo a la doctora Lucía Rodríguez Fonseca, la cirugía ortognática es un procedimiento habitual y la planificación 3D permite al ortodoncista y al cirujano maxilofacial un correcto diagnóstico y resultados predecibles. "Es imprescindible que el ortodoncista y el cirujano maxilofacial analicen el caso de forma conjunta, para diseñar la fase de ortodoncia pre-quirúrgica. Esta fase, consiste en corregir todas las compensaciones dentarias existentes, colocando los dientes en su base ósea y proporcionando al cirujano una estructura estable y correcta de ambas arcadas para llevar a cabo los movimientos esqueléticos planificados", destaca la doctora.
Imagen en alta resolución. Este enlace se abrirá mediante lightbox, puede haber un cambio de contextoEl trabajo de corrección se realizará aplicando las principales técnicas quirúrgicas. La cirugía del maxilar superior, "que permite el avance, desplazamiento vertical del maxilar superior y/o rotación del mismo. Se utiliza para la corrección de los casos de Clase III o prognatismo mandibular, mordidas abiertas o sonrisas gingivales. La cirugía de la mandíbula, que permite el avance o retroceso mandibular, siendo el avance mandibular la técnica más practicada en mandíbula. Se utiliza en la corrección de la Clase II o retrognatia".
La Cirugía maxilo-manbibular o cirugía ortognática bi-maxilar, - continua la especialista del Hospital La Luz -, se utiliza en aquellos casos donde es necesario reposicionar tanto el maxilar, como la mandíbula, para lograr una correcta oclusión y estética facial. Se utiliza para el tratamiento de las Clase II, Clase III y asimetrías mandibulares.
"Y para corregir y reformar el tamaño de la barbilla, está la cirugía del mentón o mentoplastia. En este caso pueden llevarse a cabo diferentes procedimientos: avance, retroceso o cambios verticales para alargar o acortar el mentón", afirma la doctora Rodriguez Fonseca.
Tras la intervención, se continúa con la fase de ortodoncia post-quirúrgica, "con el fin de estabilizar la nueva posición quirúrgica y facilitar una guía funcional a la nueva relación de los maxilares", concluye la doctora.

Área personal de salud: Mi Quirónsalud
Accede a cualquier hora del día para cuidar tu salud y la de los tuyos.
Mi Quirónsalud es tu espacio personal privado y seguro en el que puedes solicitar y gestionar tus citas o consultar tus informes clínicos sin esperas ni desplazamientos.
¡Descúbrelo!

















