Implicaciones de la menopausia pueden afectar a la salud dental debido a las alteraciones hormonales
Existen diferentes implicaciones de la menopausia en la salud dental de la mujer debido a los cambios producidos en la mucosa oral. Las alteraciones hormonales, fundamentalmente las relacionadas con la disminución de estrógenos, se ha relacionado con la patogenia del síndrome de boca urente o ardiente, la xerostomía o síndrome de boca seca, e incluso la afectación periodontal.
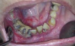
En este sentido, algunos autores han encontrado una asociación entre enfermedad periodontal y osteoporosis. Y es precisamente en el empleo de los fármacos que se utilizan para el tratamiento de esta enfermedad, los bifosfonatos, ampliamente difundidos entre la población, donde ha aparecido un nuevo proceso patológico, la osteonecrosis maxilar o mandibular.
Según el doctor José Luis Cebrian, jefe Asociado del servicio de Cirugía Oral, Maxilofacial e Implantología del Hospital La Luz, al ser un proceso de reciente aparición, todavía no tenemos un tratamiento totalmente curativo, por eso, la prevención de estas situaciones patológicas es el mejor tratamiento y controlar algunos factores de riesgo que pueden empeorarlas es fundamental. "La ansiedad, la depresión o el consumo de tabaco, pueden potenciar los efectos que la disminución de hormonas sexuales femeninas tiene en la boca de las pacientes postmenopaúsicas".
Imagen en alta resolución. Este enlace se abrirá mediante lightbox, puede haber un cambio de contextoLa Revista Española de Cirugía Oral y Maxilofacial (RECOM), publicó hace unos años un artículo, "Diagnóstico, prevención y tratamiento de la osteonecrosis de los maxilares por bisfosfonatos, "donde se establecen una serie de recomendaciones de la Sociedad Española de Cirugía Oral y Maxilofacial (SECOM) a tener en cuenta cuando vamos a tratar la boca de pacientes que toman bifosfonatos orales e intravenosos. Los profesionales que trabajamos en maxilofacial debemos conocer los protocolos de profilaxis que van publicándose y estar atentos a sus actualizaciones. Este puede ser un punto de partida para complementar con publicaciones más recientes y poder afrontar con seguridad el tratamiento de nuestras pacientes", señala el doctor José Luis Cebrian.
Este experto advierte que, tomando ciertas precauciones, una correcta higiene oral, priorizar una dieta equilibrada y rica en alimentos que puedan favorecer la salud dental (frutas, pescado y aceite de oliva), ayudan a eliminar la placa de los dientes y reducen los microrganismos del biofilm dental, y estando siempre en contacto con el médico de cabecera, la edad posmenopáusica no es una contraindicación para llevar a cabo cualquier tratamiento odontológico y de cirugía oral que precisen las pacientes.

Área personal de salud: Mi Quirónsalud
Accede a cualquier hora del día para cuidar tu salud y la de los tuyos.
Mi Quirónsalud es tu espacio personal privado y seguro en el que puedes solicitar y gestionar tus citas o consultar tus informes clínicos sin esperas ni desplazamientos.
¡Descúbrelo!

















