- 19 de septiembre de 2023
“Ninguna Mujer debería morir de cáncer de Cérvix”
Es una de las reflexiones del doctor Francisco Aliaga responsable del Laboratorio de Biología Molecular de la Clínica Rotger y Hospital Quirónsalud Palmaplanas durante la Jor...Hospital Quirónsalud Palmaplanasen/health-centers/hospital-quironsalud-palmaplanas - 18 de septiembre de 2023
Septiembre y vuelta al cole: claves para una transición exitosa en los niños
El servicio de Enfermería de Quirónsalud Bizkaia nos da los siguientes consejos para ayudar a que nuestros hijos se enfrenten al nuevo ciclo escolar con confianza y bienestar...Hospital Quirónsalud Bizkaiaen/health-centers/hospital-quironsalud-bizkaiaPsicología Clínicaen/specialities/psicologia-clinica - 14 de septiembre de 2023
10 consejos para mantener la dermatitis atópica bajo control
La comunidad de pacientes con dermatitis atópica celebra cada 14 de septiembre el Día Mundial de la Dermatitis Atópica; un trastorno crónico de la piel que causa picor intens...Hospital Quirónsalud Vitoriaen/health-centers/hospital-quironsalud-vitoriaDermatología Médico-Quirúrgica y Venereologíaen/specialities/dermatologia-medico-quirurgica-venereologia - 14 de septiembre de 2023
“El reto es conseguir que aniden los embriones y rejuvenecer los ovarios para que los óvulos no tengan...
Dr. Koldo Carbonero, ginecólogo y Jefe del Servicio de Reproducción Asistida de Quirónsalud en GipuzkoaHospital de Día Quirónsalud Donostiaen/health-centers/hospital-dia-quironsalud-donostia - 14 de septiembre de 2023
A partir de los cincuenta años más de la mitad de los hombres manifiesta síntomas relacionados con la...
Los especialistas de Quirónsalud Torrevieja y Valencia advierten en el Día Europeo de la Salud Prostática que más de la mitad de los hombres manifiesta síntomas relacionados ...Hospital Quirónsalud Valenciaen/health-centers/hospital-quironsalud-valenciaUrologíaen/specialities/urologia - 14 de septiembre de 2023
Nueve de cada diez casos de cáncer de próstata se curan si se detectan en fases tempranas
Con motivo del Día Europeo de la Salud Prostática el Dr. Guillermo Conde, jefe de Urología del Hospital Quirónsalud Tenerife, destaca la importancia de la detección precoz y ...Hospital Quirónsalud Tenerifeen/health-centers/hospital-quironsalud-tenerifeUrologíaen/specialities/urologia - 14 de septiembre de 2023
Los especialistas recomiendan realizar chequeos a partir de los cincuenta años para evitar patologías...
Con motivo del Día Europeo de la Salud Prostática el doctor Cristóbal Moreno Alarcón, urólogo del Hospital Quirónsalud Murcia, recomienda realizarse chequeos periódicos para ...Hospital Quirónsalud Murciaen/health-centers/hospital-quironsalud-murciaUrologíaen/specialities/urologia - 13 de septiembre de 2023
La vuelta al trabajo y la vista cansada: cuida tus ojos en el regreso a la rutina
La fatiga visual se caracteriza por una seria de síntomas que pueden agravarse en regreso laboral, especialmente en empleos que requieren largas horas frente a una pantalla.Hospital El Pilaren/health-centers/hospital-el-pilar - 11 de septiembre de 2023
Recomendaciones para una perfecta adaptación a la vuelta al cole de los más pequeños de la casa
El Servicio de Pediatría de Quirónsalud Campo de Gibraltar ofrece una serie de consejos para conseguir una buena adaptación al nuevo cursoHospital Quirónsalud Campo de Gibraltaren/health-centers/hospital-quironsalud-campo-gibraltarPediatría y sus Áreas Específicasen/specialities/pediatria-areas-especificas - 11 de septiembre de 2023
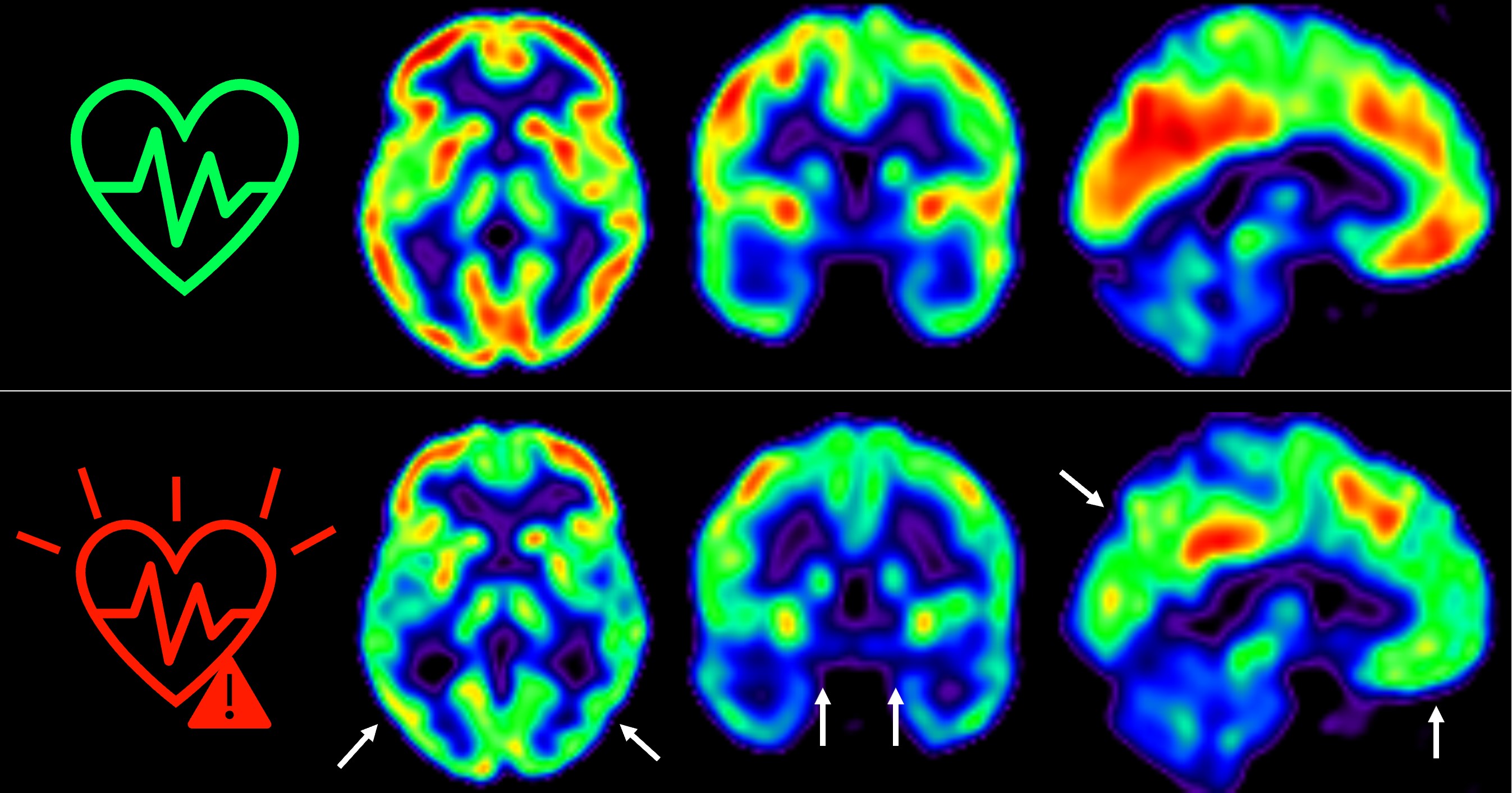
Cuanto antes empecemos a controlar los factores de riesgo cardiovascular, mejor para nuestro cerebro
Un estudio publicado en The Lancet Healthy Longevity muestra que las personas de mediana edad con un riesgo cardiovascular elevado de forma sostenida durante 5 años experimen...Hospital Universitario Fundación Jiménez Díazen/health-centers/hospital-universitario-fundacion-jimenez-diaz
Contenidos de salud
Contenidos de salud
Conoce tu salud desde todas las perspectivas
Explora artículos, consejos expertos y recursos multimedia diseñados para guiarte en tu viaje hacia una vida más saludable. Encontrarás contenido actualizado y basado en la evidencia, respaldado por la experiencia de nuestro equipo médico.









