Quirónsalud
Blog del Dr. Alfonso Vidal Marcos. Anestesiología y Reanimación. Hospital Sur.
La epiduroscopia consiste en la introducción de una fibra óptica a través de un catéter orientable. Esta fibra se conecta a una cámara y permite la visualización del interior del espacio epidural. Si bien se puede realizar la introducción a varios niveles anatómicos, lo más frecuente es hacerlo a través del hiato sacro, desde donde se hace progresar el epiduroscopio hasta el nivel afectado, permitiendo la visualización y también la actuación sobre las estructuras epidurales.

La epiduroscopia tiene dos indicaciones fundamentales:
Contraindicaciones – la epiduroscopia no se aconseja en presencia de alteraciones de la coagulación (anticoagulantes, antiagregantes, enfermedad del hígado o enfermedad hematológica). Pacientes con insuficiencia respiratoria severa o aquellos con alteraciones en el lugar de punción (infecciones, tatuajes, o anomalías anatómicas) también deben rechazarse o buscar el abordaje por otra vía.
Técnica
El procedimiento se realiza en decúbito prono, bajo sedación intravenosa y anestesia local, con control radioscópico de todas las movilizaciones en el canal medular y en quirófano, pincelando el área de punción y protegiendo el campo quirúrgico con paños estériles para reducir al mínimo la infección.

Se infiltra con anestésico local en los alrededores del hiato sacro para adormecer el área. A través del hiato sacro se inserta una aguja de Tuhoy en el espacio epidural. A través de esta aguja se pasa una guía de metálica roma. Luego se retira la aguja dejando el alambre guía en el lugar en el espacio epidural. Se pasa un dilatador sobre el alambre guía en el que se monta el introductor que permitirá colocar después el dispositivo óptico.


El epiduroscopio se introduce progresivamente con control de Rx, hasta el nivel deseado, se progresa lentamente preguntando al paciente por dolor o irradiación en las movilizaciones o al inyectar.
Una vez en el sitio podemos proceder a actuar sobre las adherencias epidurales utilizando la punta del Epiduroscopio o un catéter tipo Fogarty. Luego, se administra un anestésico local y esteroide de depósito alrededor de las raíces nerviosas inflamadas en la zona.

Complicaciones
Juana, una paciente de 34 años intervenida de artrodesis vertebral, con un cuadro de dolor de lumbar con una irradiación permanente que no remitía con técnicas conservadoras o bloqueos epidurales simples, tras reiterados procedimientos, fue una de las pacientes que propusimos para epiduroscopia.
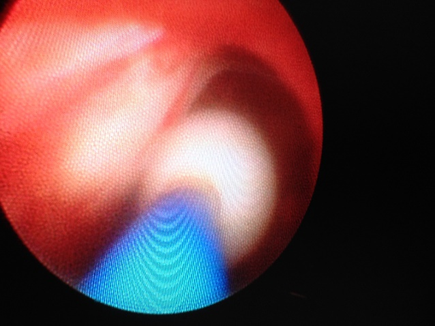
Tras acceder al espacio epidural, comenzamos a apreciar amplias áreas de hiperemia, imágenes que reflejaban inflamación y la presencia de adherencias a nivel de la raiz L5 derecha. Tras la realización de la epiduroscopia, con despegamiento y lavado de la zona, la paciente mejoro significativamente del dolor irradiado, si bien no desapareció del todo.
Este abordaje permitió evitar una nueva cirugía no deseada por paciente ni neurocirujano por su propensión a generar queloides en las cicatrices. La epiduroscopia es una alternativa menos intervencionista con una eficacia de casi el 50% de los casos y con efectos secundarios escasos y predecibles.
Un blog de dolor, anestesia y reanimacion desde un punto de vista clinico y sanitario pero tambien social y cultural
2.026
2.025
2.024
2.023
2.022
2.021
2.020
2.019
2.018
2.017
2.016
La finalidad de este blog es proporcionar información de salud que, en ningún caso sustituye la consulta con su médico. Este blog está sujeto a moderación, de manera que se excluyen de él los comentarios ofensivos, publicitarios, o que no se consideren oportunos en relación con el tema que trata cada uno de los artículos.
Quirónsalud no se hace responsable de los contenidos, opiniones e imágenes que aparezcan en los "blogs". En cualquier caso, si Quirónsalud es informado de que existe cualquier contenido inapropiado o ilícito, procederá a su eliminación de forma inmediata.
Los textos, artículos y contenidos de este BLOG están sujetos y protegidos por derechos de propiedad intelectual e industrial, disponiendo Quirónsalud de los permisos necesarios para la utilización de las imágenes, fotografías, textos, diseños, animaciones y demás contenido o elementos del blog. El acceso y utilización de este Blog no confiere al Visitante ningún tipo de licencia o derecho de uso o explotación alguno, por lo que el uso, reproducción, distribución, comunicación pública, transformación o cualquier otra actividad similar o análoga, queda totalmente prohibida salvo que medie expresa autorización por escrito de Quirónsalud.
Quirónsalud se reserva la facultad de retirar o suspender temporal o definitivamente, en cualquier momento y sin necesidad de aviso previo, el acceso al Blog y/o a los contenidos del mismo a aquellos Visitantes, internautas o usuarios de internet que incumplan lo establecido en el presente Aviso, todo ello sin perjuicio del ejercicio de las acciones contra los mismos que procedan conforme a la Ley y al Derecho.