Quirónsalud
Blog del Dr. Alfonso Vidal Marcos. Anestesiología y Reanimación. Hospital Sur.
La fascitis plantar se define como una inflamación de la interfase del ligamento óseo (entesis) de la fascia que soporta el arco del pie y da consistencia por debajo a los huesos del tarso y metatarso.
La fascia discurre desde la base del calcáneo hasta las cinco falanges proximales de los dedos, los ligamentos transversos de los metatarsianos y la vaina de los tendones flexores. Está compuesta fundamentalmente de fibras de colágeno agrupadas en haces.
Sometida a microtraumatismos repetidos o sobrecarga, acaba generando una inflamación que el organismo no es capaz de regenerar y produce una cronificación sintomática: dolor, y anatómica: espolón calcáneo.

María de 48 años, trabajadora en una gran superficie como reponedora, diagnosticada de artritis gotosa y con sobrepeso venía padeciendo esta patología desde hacía años, aunque solo sintomática, de manera intermitente.
Sin embargo, en los últimos seis meses la molestia se convirtió en dolor y la ligera intolerancia a ciertas posturas se convirtió en franca incapacidad. Ni los antiinflamatorios, ni las plantillas, ni el reposo forzoso consiguieron aliviarla.
Acudió, a nuestra Unidad remitida por el servicio médico de su empresa, probablemente por la proximidad y los buenos resultados obtenidos con algunos trabajadores, compañeros de María.
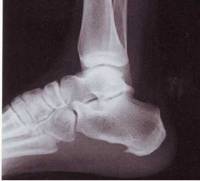
Tras la exploración, en la que encontramos dolorosa la presión en la tuberosidad calcánea (signo del salto calcáneo), y la revisión de las imágenes radiológicas decidimos realizar una infiltración con Triamcinolona y Bupivacaina en la inserción tendinosa que genero una gran mejoría, permaneciendo dos semanas asintomática. El dolor reapareció pero de menor intensidad, lo que le permitía una vida casi normal.

Entonces le explicamos que este procedimiento era "como un empujón para arrancar el coche sin batería, el coche arranca, pero necesita recargar la batería y, sobre todo, el coche y la batería siguen siendo los mismos y necesitan un mantenimiento continuo y especifico".
Aconsejamos a María, sobre todo, que cambiara de calzado y que perdiera peso. Pese a todo, María recayó a los tres meses, entonces propusimos a María realizar bloqueo con radiofrecuencia en la inserción tendinosa, visto el buen resultado obtenido en otras localizaciones como epicóndilo o trocánter.

Se lo realizamos con éxito y obtuvimos una mejoría de casi ocho meses. Pero, María volvió al hospital un año después, la sintomatología era muy intensa y la imagen radiológica denotaba un gran avance del cuadro, María volvía esta vez a realizarse una cirugía sobre la fascia afectada, con una lesión agravada por el enorme sobrepeso.
La cirugía es la solución cuando no somos capaces de resolver el problema con medidas conservadoras. El paciente tiene el derecho de recibir una asistencia adecuada y una orientación terapéutica correcta, pero debe asumir su protagonismo en estas medidas o, muchas veces, no podemos más que explicarle las consecuencias de esta falta de compromiso.
Es necesario un esfuerzo continuo en formación de los profesionales, pero no es menos necesario un esfuerzo de información profesional y veraz a los pacientes.
Pacientes formados es igual a pacientes más colaboradores, que con una concienciación mayor, cumplen con las recomendaciones y, por tanto, mejoran su pronóstico.
La salud es un problema de todos, pero quien más tiene que ganar o perder es el paciente.
Un blog de dolor, anestesia y reanimacion desde un punto de vista clinico y sanitario pero tambien social y cultural
2,026
2,025
2,024
2,023
2,022
2,021
2,020
2,019
2,018
2,017
2,016
La finalidad de este blog es proporcionar información de salud que, en ningún caso sustituye la consulta con su médico. Este blog está sujeto a moderación, de manera que se excluyen de él los comentarios ofensivos, publicitarios, o que no se consideren oportunos en relación con el tema que trata cada uno de los artículos.
Quirónsalud no se hace responsable de los contenidos, opiniones e imágenes que aparezcan en los "blogs". En cualquier caso, si Quirónsalud es informado de que existe cualquier contenido inapropiado o ilícito, procederá a su eliminación de forma inmediata.
Los textos, artículos y contenidos de este BLOG están sujetos y protegidos por derechos de propiedad intelectual e industrial, disponiendo Quirónsalud de los permisos necesarios para la utilización de las imágenes, fotografías, textos, diseños, animaciones y demás contenido o elementos del blog. El acceso y utilización de este Blog no confiere al Visitante ningún tipo de licencia o derecho de uso o explotación alguno, por lo que el uso, reproducción, distribución, comunicación pública, transformación o cualquier otra actividad similar o análoga, queda totalmente prohibida salvo que medie expresa autorización por escrito de Quirónsalud.
Quirónsalud se reserva la facultad de retirar o suspender temporal o definitivamente, en cualquier momento y sin necesidad de aviso previo, el acceso al Blog y/o a los contenidos del mismo a aquellos Visitantes, internautas o usuarios de internet que incumplan lo establecido en el presente Aviso, todo ello sin perjuicio del ejercicio de las acciones contra los mismos que procedan conforme a la Ley y al Derecho.